

Surgical resection was felt to be most appropriate given the extensive size not being amenable to radiation, degree of symptomatic mass effect, favorable accessibility and non-eloquent location, and histopathologic diagnosis. He underwent a right frontal craniotomy, performed by Dr. Xavier Gaudin, with a three-quarter bicoronal flap for resection of both the sub frontal and superior subcortical masses. Grossly, the masses appeared so, friable, purple, and gray in appearance with a disncve plane from the parenchyma. Pathology was consistent with poorly differentiated adenocarcinoma from lung origin.

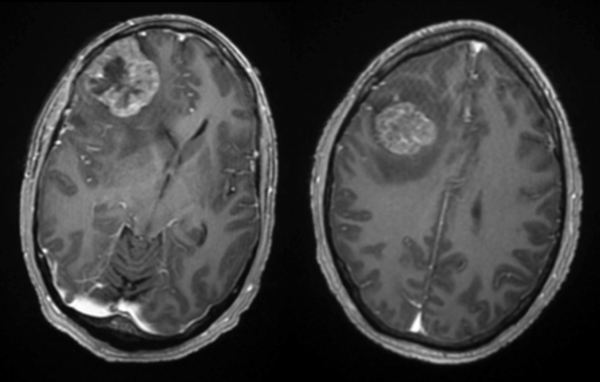
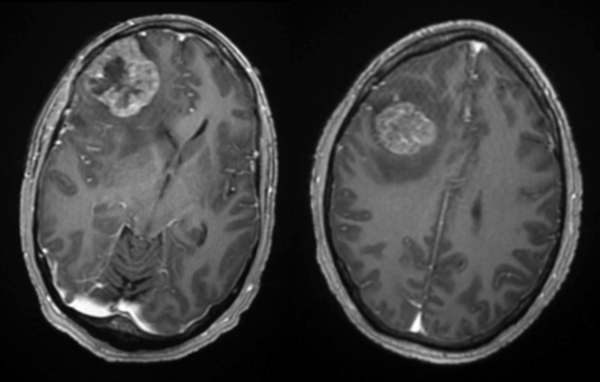
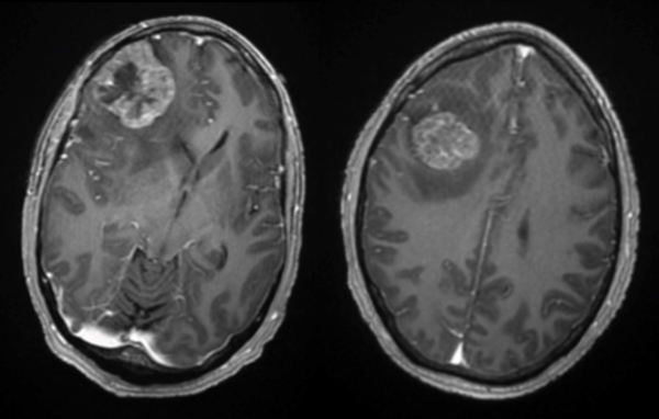
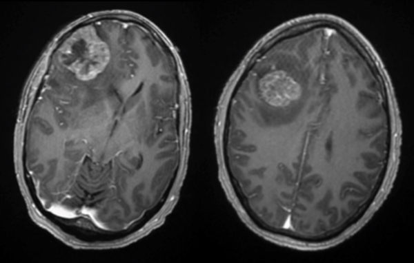
Pre-op

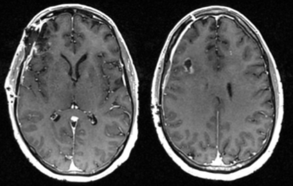
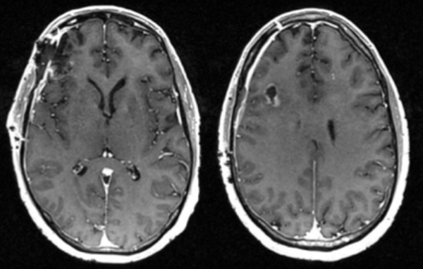
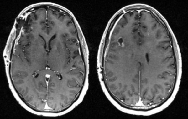
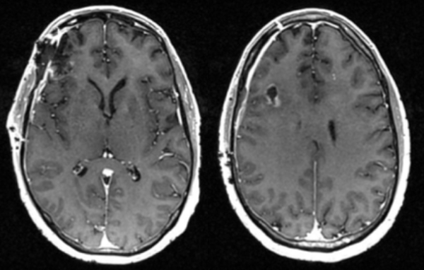
Post-op
Follow up imaging demonstrated a gross total resection for both intracranial metastases. The patient tolerated the surgery well and was discharged home on postoperative day four. At one-month follow-up, he was neurologically back to his baseline with a resolution of previous headaches and behavioral changes. He underwent postoperative stereotactic radiosurgery (Gamma Knife) to each surgical bed, followed by chemotherapy.
This is a 56-year-old man with a history of COPD and asthma who presented with a syncopal event and one week of retro-orbital headaches, blurry vision, and personality changes including apathy and disinhibition. He had a 40- pack-year smoking history but no prior malignancy. The exam revealed a pronator dri on the le upper extremity. MRI brain demonstrated 2 large right frontal heterogeneously enhancing masses with vasogenic edema causing midline shi and subfalcine herniation. The largest lesion was 3.9 x 4.0 cm on the inferior/sub frontal cortical surface, while the other was 3.0 x 2.7 cm in the superior subcortical frontal lobe. Further imaging showed a mediastinal mass suspicious for malignancy. He was started on Decadron for edema and Keppra for seizure prophylaxis.

To learn more about the author, click his name or photo: