May 5, 2025
We have had a busy couple of weeks doing all kinds of interesting spine cases. WE LIKE TO DO IT ALL….particularly those cases that are degenerative […]
March 3, 2025
January 6, 2025
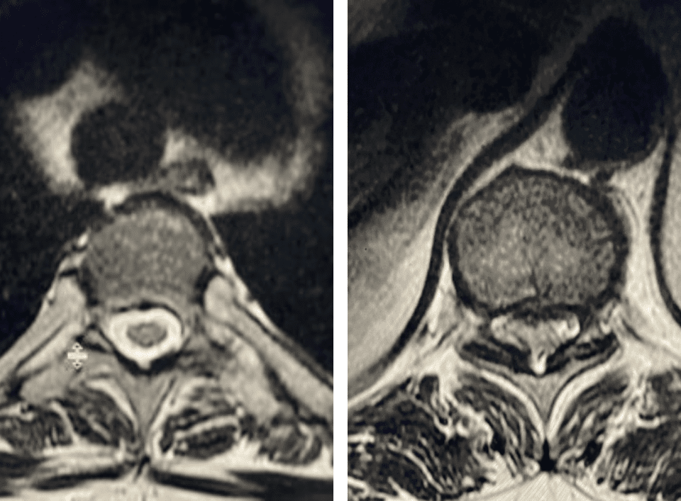
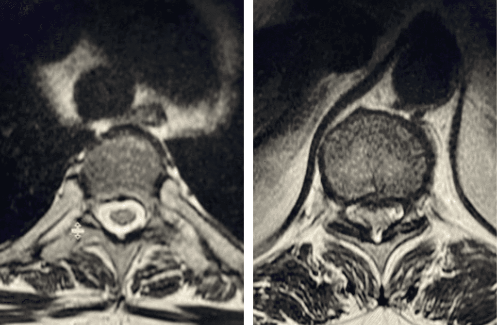
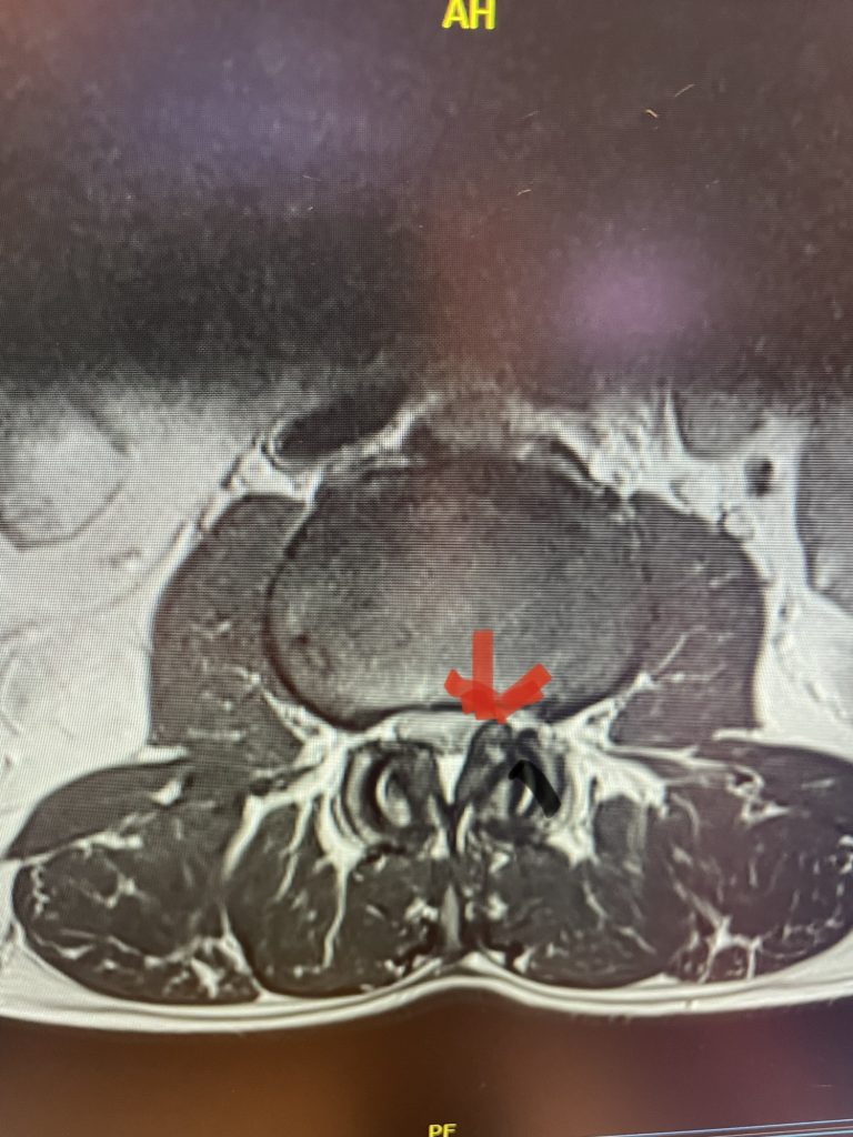
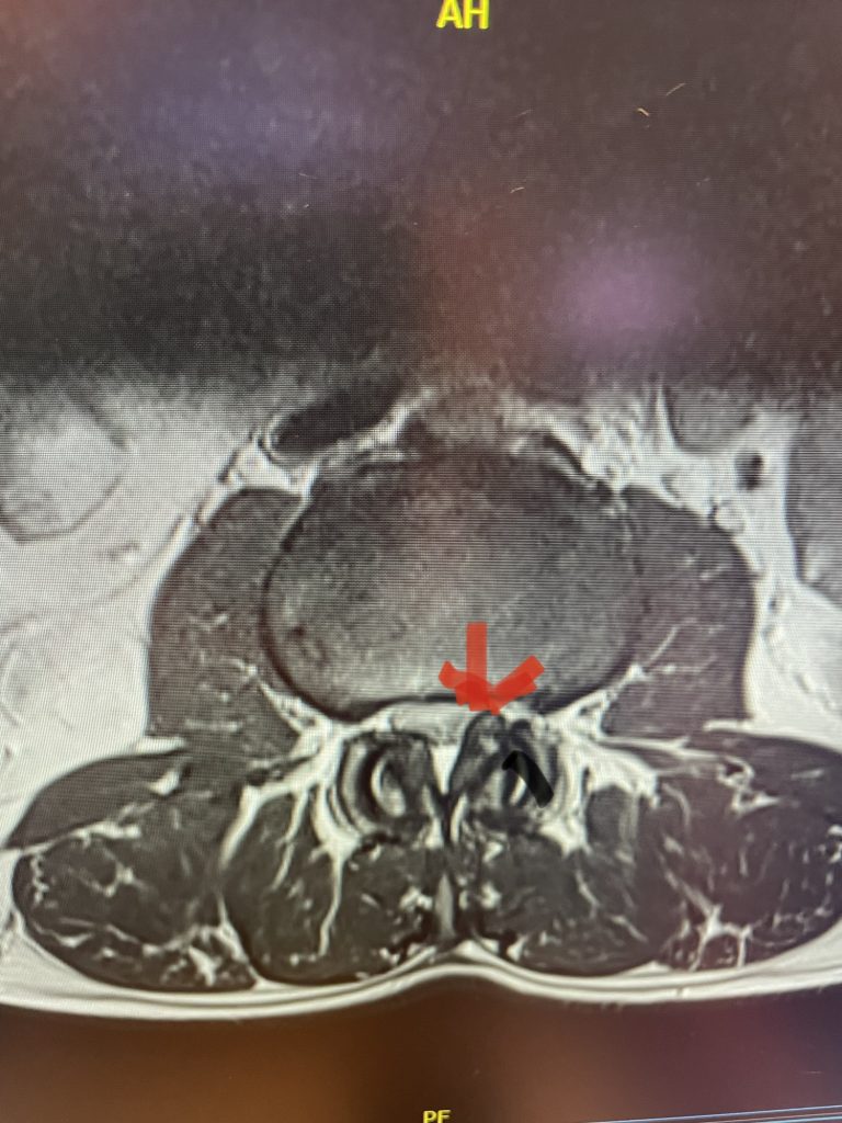
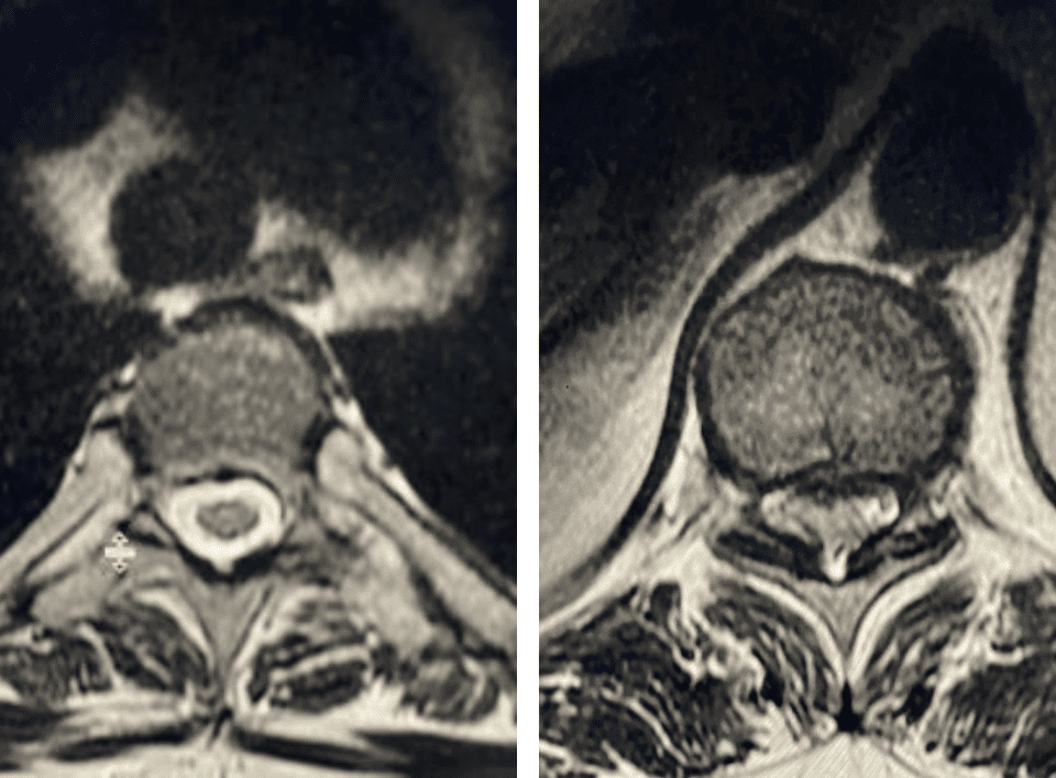
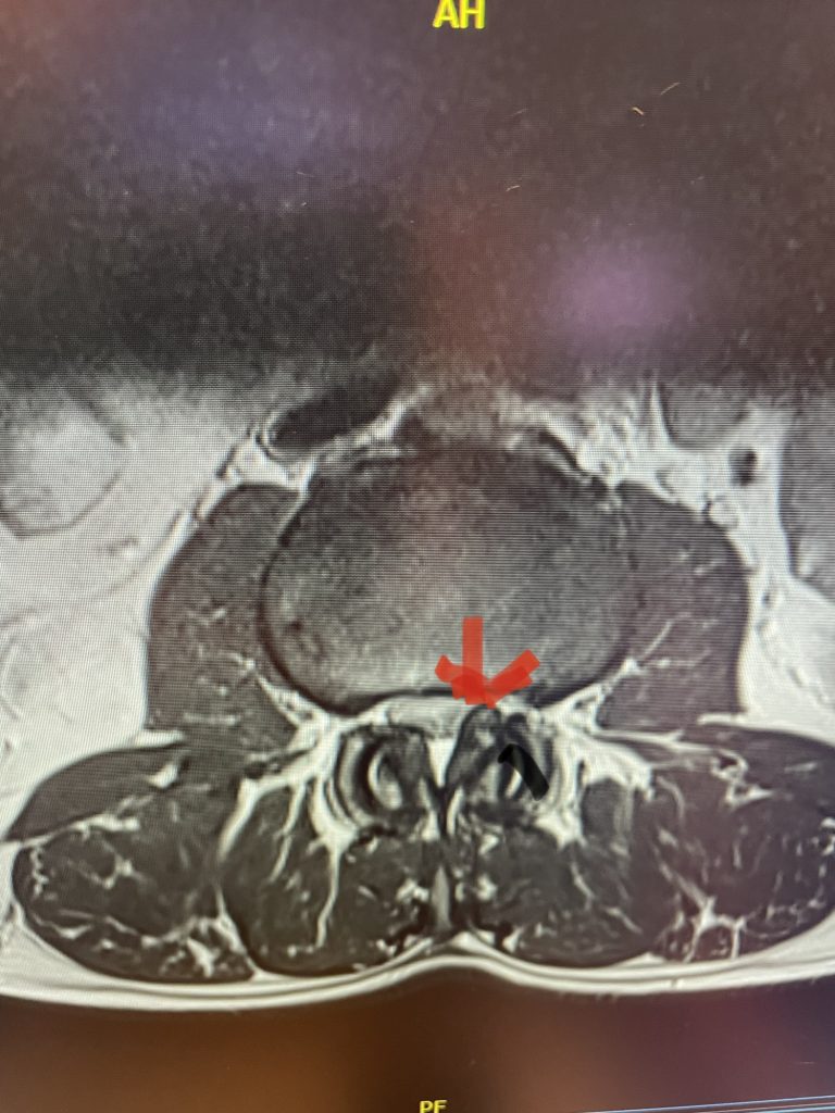
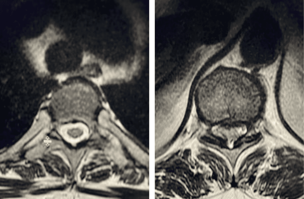
The spinal synovial cyst is one of the most interesting expressions of spinal instability. They emanate from the synovial lining of a degenerated facet joint that […]
August 27, 2024
I had some time off to contemplate nature and the beauty of Alaska and took a break from neurosurgery. I think it’s very important to take […]
May 23, 2024
Patients may require an occipital-cervical fusion for both cranio-cervical and atlanto-axial instability, depending on the anatomy. Patients who have long segment posterior cervical fusions can sometimes […]
February 27, 2024
As a spine surgeon you see patients with all body types. Morbidly obese patients pose a particular challenge. Heavy patients who have lumbar spinal stenosis or […]
January 11, 2024
We as spine surgeons can sometimes change our approach in the preoperative planning of a patient’s surgery. Sometimes an approach that is so initially obvious becomes […]
November 15, 2023
One of the more interesting aspects of neurosurgery is making a decision as to whether a patient should have spine surgery. If a patient has severe […]
July 24, 2023
I specialize in and am very familiar with patients who have osteoporosis and require spinal surgery for degenerative […]
April 28, 2023
The actual structural cause of lumbar thecal sac compression can vary in degenerative spondylolisthesis and stenosis. The culprits are commonly thickened ligamentum flavum or severe facet […]
March 13, 2023
After 25 years in practice, I still find it challenging, but quite rewarding: removing degenerative material off the dural membrane in the lumbar spine. Some people […]
October 6, 2022
Revision lumbar spine surgery is amongst the most difficult of surgeries, not just in spine surgery, but of all categories of surgery. I don’t believe many […]
August 23, 2022
Patients can present with all kinds of herniated discs that occur in many different locations in the lumbar spine. I tell patients that the disc is […]
July 22, 2022
Thoracic stenosis is far less common than lumbar stenosis. Whereas the symptoms of lumbar stenosis are usually well-defined, thoracic stenosis can act like a great mimicker, […]
July 2, 2022
People are obsessed with cysts! When you think about it, the body likes to form cysts. Why does this happen? Cysts can form just about anywhere […]
June 10, 2022
Patients sometimes have subtle anatomical abnormalities you discover as you investigate their problem. And sometimes these findings can answer the why and the how as to […]
May 27, 2022
Nervous tissue is soft. The thecal sac is surrounded by a rigid bony ring which forms the spinal canal. Any mass that fills the very small […]
May 11, 2022
Here is a tough case: This is a 72 year-old male who presented with several months of progressive neck pain without symptoms of the arms or legs. […]
May 11, 2022
Patients who are morbidly obese are particularly challenging to manage with spine pathology. When these patients have low back pain and concurrent severe lumbar degeneration, it […]
May 11, 2022
This week was frantically filled with interesting spine cases that illustrate important biomechanical principles and important common problems that we face as neurosurgeons. The first was […]
May 10, 2022
Another patient followed up who I initially had seen on our NSPC mobile van at her worksite. She was 52 years-old and complained of chronic intractable […]





















