

By the time she was seen by Dr. Imani, the patient’s pain in her left arm increased to 8 out of 10 and was causing significant issues with being able to perform her duties at work and participate in her hobbies at home. The patient had been very anxious about surgery, because she did not want to have a fusion and lose some of her range of motion.
During her consultation with Dr. Imani, he reviewed her MRI of the cervical spine and thoroughly explained the anatomy of the cervical spine, and the reason why the patient developed a herniated disc. Additionally, Dr. Imani explained multiple surgical options that could avoid fusion, but allow for her to obtain relief from her cervical herniated disc.
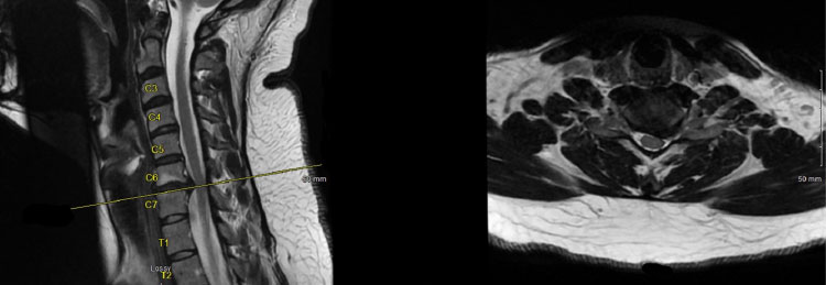
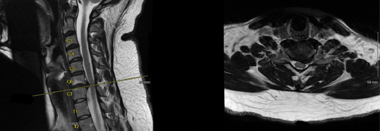
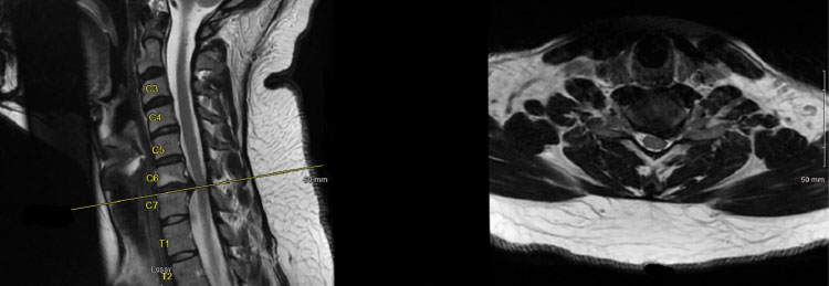
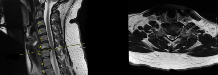
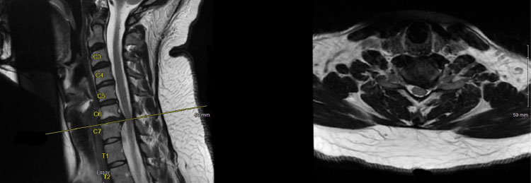
Below are the pre-operative MRI cervical spine images showing a left-sided C6/C7 herniated disc with pressure on the existing left C7 nerve root.

The patient underwent removal of the C6/C7 herniated disc and placement of a cervical artificial disc. Below are the post-operative cervical spine x-rays in flexion and extension showing preservation of motion of the cervical spine.

After surgery, she had complete resolution of the pain going down her left arm and neck pain, and was able to return to work two weeks after surgery. At 1 year after surgery, she continues to do well with no return of symptoms.
Neck and low back pain can be debilitating and cause numerous issues with completing tasks at work and enjoying normal daily activities. Patients often become fearful of spine surgery and some of the side affects that come with fusing the spine. While a considerable number of patients with spine issues require fusion, there are many patients that can do well with procedures that avoid fusion. Dr. Imani has been trained in complex and minimally invasive spine surgery. He is able to offer multiple treatment options that can be catered to the patient to achieve the best results.
This 48 year old woman, manager of a local bank, presented to clinic with complaints of neck pain and left arm pain that had been present for approximately 9 months. When her symptoms initially began, she tried over the counter medications (ibuprofen) and oral steroids for pain relief. She had a great responds the first 2 months from this therapy. However, her pain continued to intensify after those 2 months. She eventually had epidural steroid injections to control her symptoms. Her symptoms subsided after the first injection; however, subsequent injections failed to control her symptoms.
