

Genetic analysis of the tumor, ordered by NSPC neuro-oncologist, Jai Grewal, M.D., revealed mutations and chromosomal translocations suggesting responsiveness to particular chemotherapy regimens.
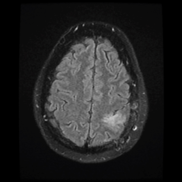
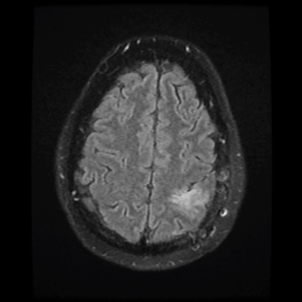
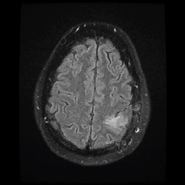
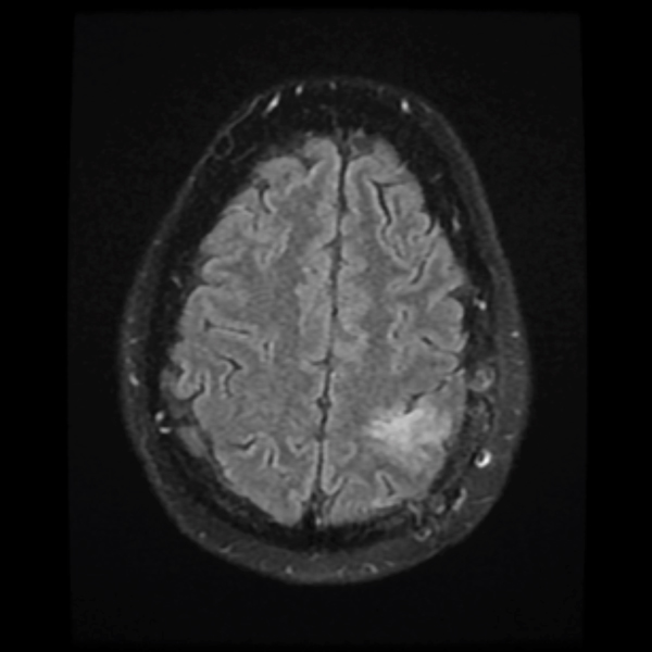
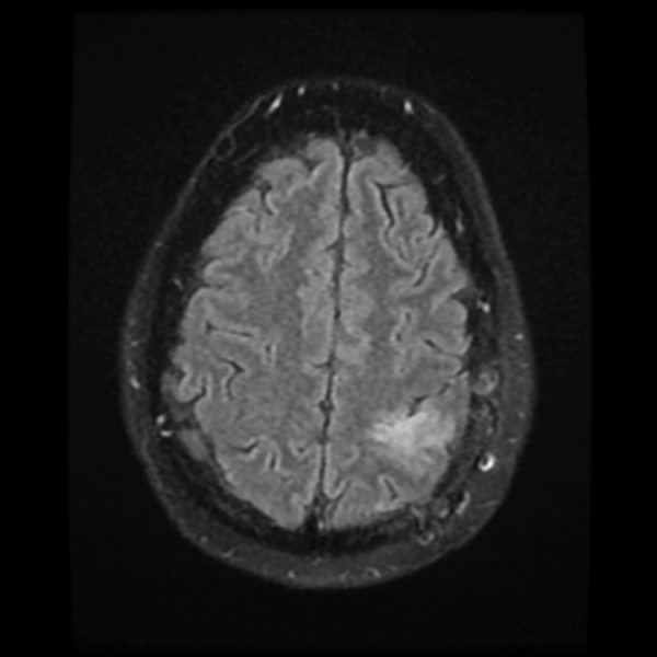
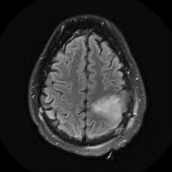
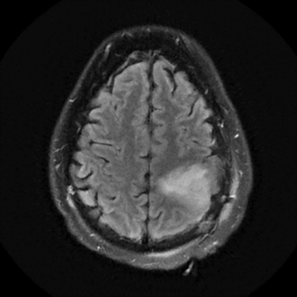
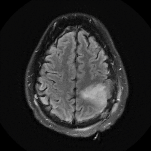
Treatment with chemotherapy and radiation under the care of Dr. Grewal resulted in a durable response of the tumor as evident in the post-treatment images.
Neurocognitive assessment by NSPC neuropsychologist Gad Klein, Ph.D., was incorporated into the patient’s care. One month following the initiation of chemotherapy, the patient experienced a marked improvement in seizure frequency, and two months later, he became completely seizure-free. He has now been tapered off seizure medications.
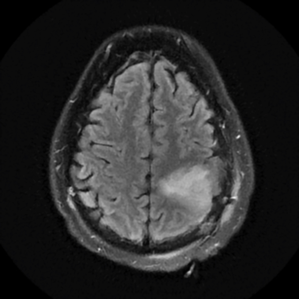
The patient has returned to work with a resolution of cognitive impairment, has no neurological impairment, and the tumor continues to shrink on each serial MRI.

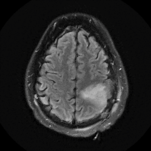
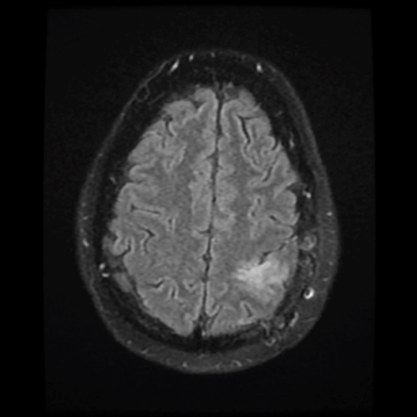
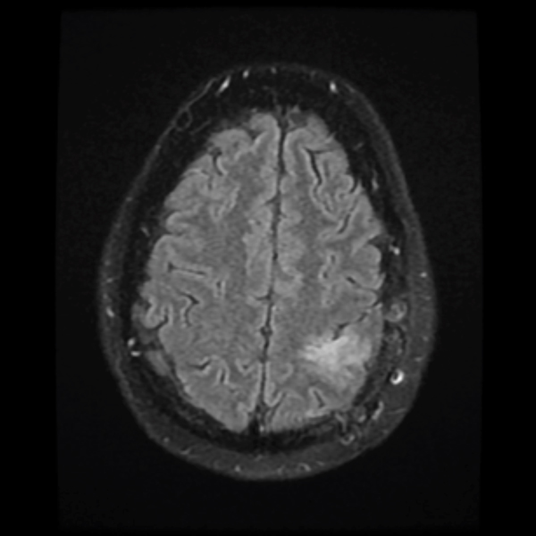
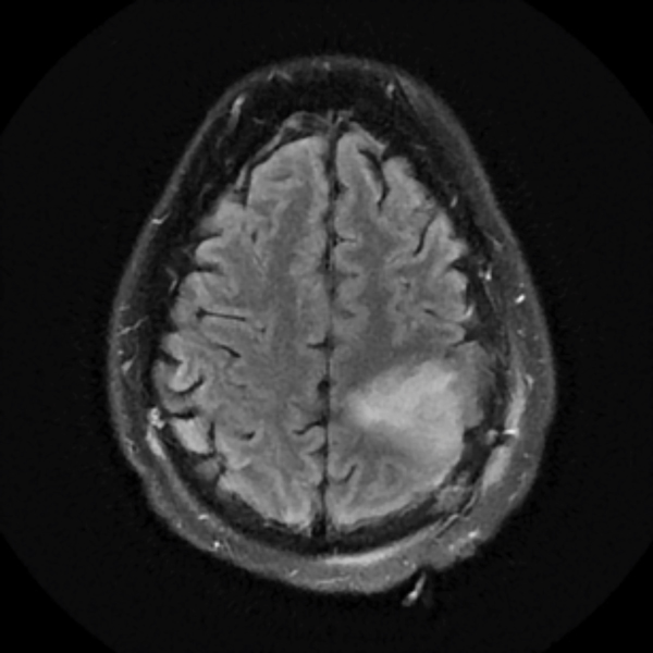
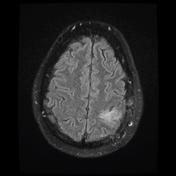
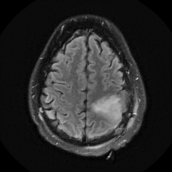
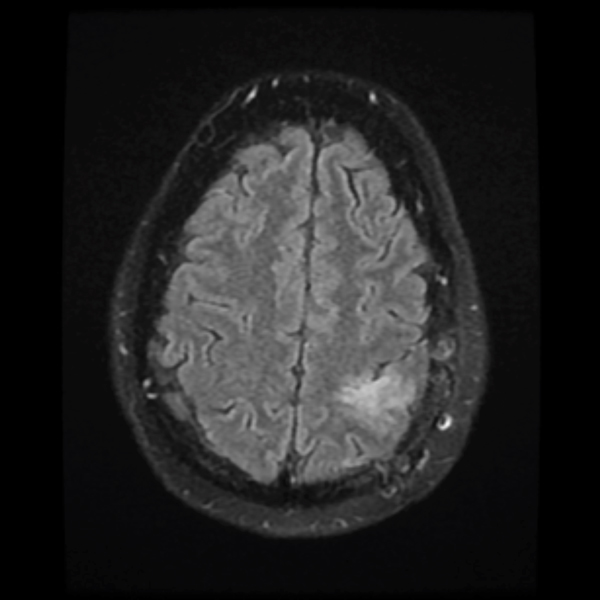
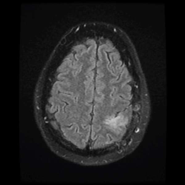
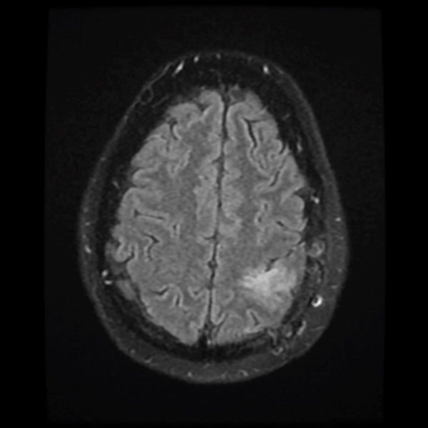
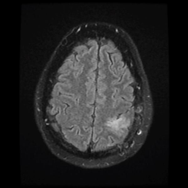
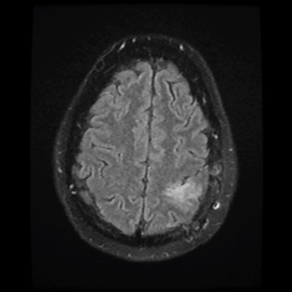
July 2019

December 2019
A 43-year-old man had symptoms of cognitive impairment and frequent jerking involving his right arm.
A brain MRI showed an increased T2 signal in the left frontoparietal area. His tumor was non-enhancing. He underwent a partial resection of the tumor performed by NSPC neurosurgeon Ramin Rak, M.D., with intraoperative monitoring revealing eloquent motor cortex involvement anteriorly. The pathological diagnosis was WHO grade 2 oligodendroglioma.

To learn more about the author, click his name or photo: