

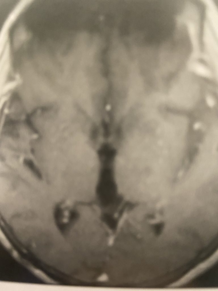
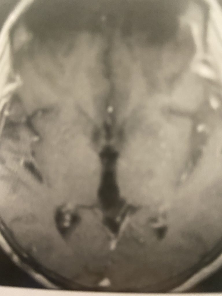
This is a 57-year-old woman with new onset memory problems and gait difficulty. MRI demonstrated a 3 cm tumor in the pineal region, most consistent with a meningioma growing inferiorly off the right tentorium.

Figure 1: Preop post contrast axial MRIs demonstrating a pineal region meningioma with hydrocephalus.
The tumor was causing compression of the upper brainstem and hydrocephalus. The tumor was removed by Dr. Michael Brisman using a right occipital / transtentorial approach.

Figure 2: Images demonstrating the right occipital / transtentorial operative approach.
Subsequently, the hydrocephalus resolved and the patient did not require shunting. Her pre-operative symptoms all resolved. Follow up MRI demonstrated complete removal of the tumor.

Figure 3

Figure 4
Postoperative post contrast axial MRIs demonstrating complete removal of the tumor with resolution of the hydrocephalus.
Many different types of tumors can develop in the pineal region. Such tumors most commonly present in children or young adults, but they can present later in life as well. The most common types of pineal region tumors are (1) gliomas; (2) germ cell tumors; and (3) pineal cell tumors. That having been said, many other types of tumors can arise in this region as well, including meningiomas.
This tumor seemed most likely to be a meningioma, given its regular shape, homogeneous enhancement pattern, and attachment to the tentorium.
The traditional surgical approach to this region is the midline supracerebellar approach, performed with the patient in the seated position. We chose instead the right occipital / transtentorial approach. The major advantages of this alternative approach are (1) it is much easier technically for the surgeon, and (2) the risk of a serious air embolus is much lower. The major risk of surgery in the pineal region is injury to one of the large deep veins, which can result in a serious venous infarct.
Surgery in this case was uneventful and led to a complete removal of the tumor, and resolution of the hydrocephalus and all pre-operative symptoms.
