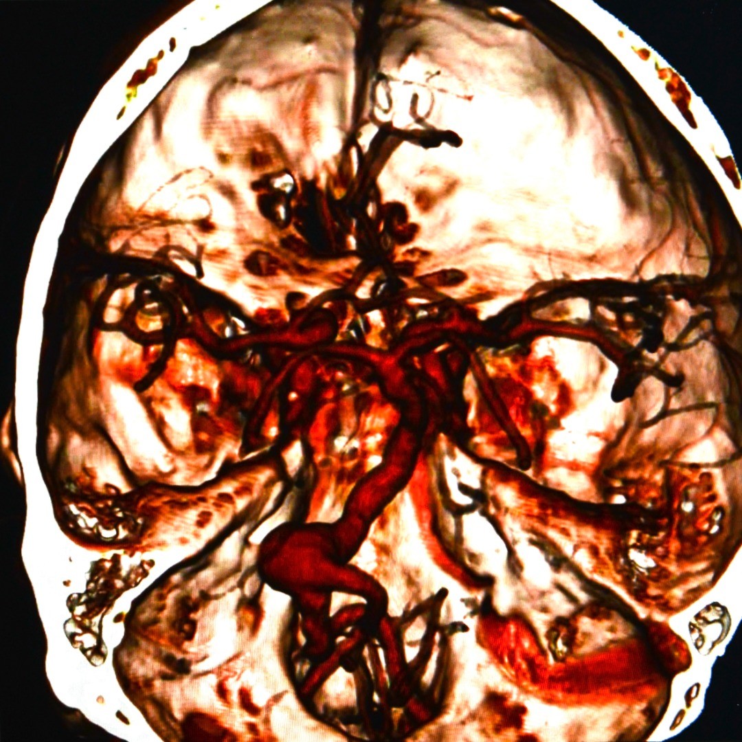
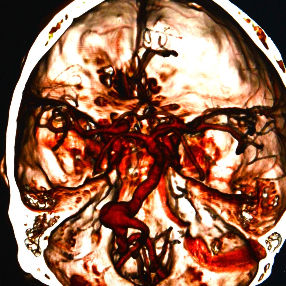
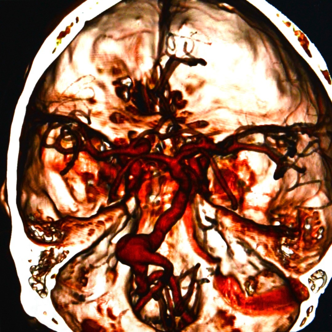
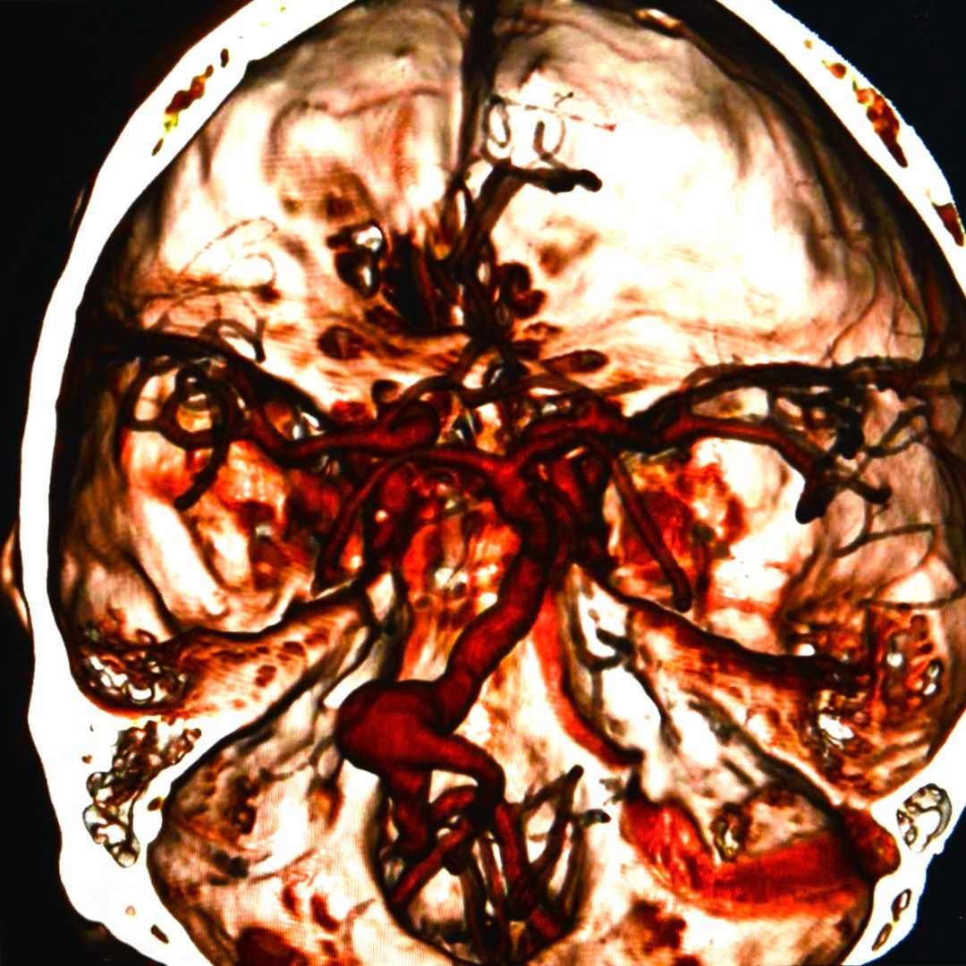
Brain aneurysms are typically treated at one of two separate times; before a rupture or event, or as a result of a rupture or event. Your physician will consider a multitude of different factors when deciding on your particular treatment. They will evaluate your age and general health, the size and severity of the aneurysm, and any other pertinent risk factors.
Coil Embolization – In this brain aneurysm treatment, a tiny tube is inserted into an artery that travels very close to the site of the aneurysm itself. A small coil made of metal is then introduced into the artery to reinforce it and relieve pressure in the area. Endovascular aneurysm coiling is considered the less invasive of the two surgical brain aneurysm treatment options available.
In general, brain aneurysm treatment breaks down into one of three basic courses of action:
If you suffer from a cerebral aneurysm, work closely with a cerebral aneurysm specialist to discuss all of your possible risk factors, as well as which treatment option is the right choice given your personal circumstance.
NSPC’s award-winning doctors offer the most up-to-date treatments for cerebral aneurysms at our medical centers located on Long Island and in the New York tristate area. As the first physician on Long Island to implement coiling of a brain aneurysm, NSPC’s Dr. Jonathan Brisman is a leading endovascular neurosurgeon in the New York area. Contact one of our brain aneurysm specialists at a NY location to discuss your treatment options.

For over 50 years & 350,000 patients NSPC has been a trusted global medical leader.
Contact us today for an appointment or consultation.