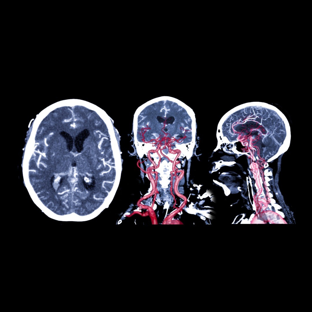
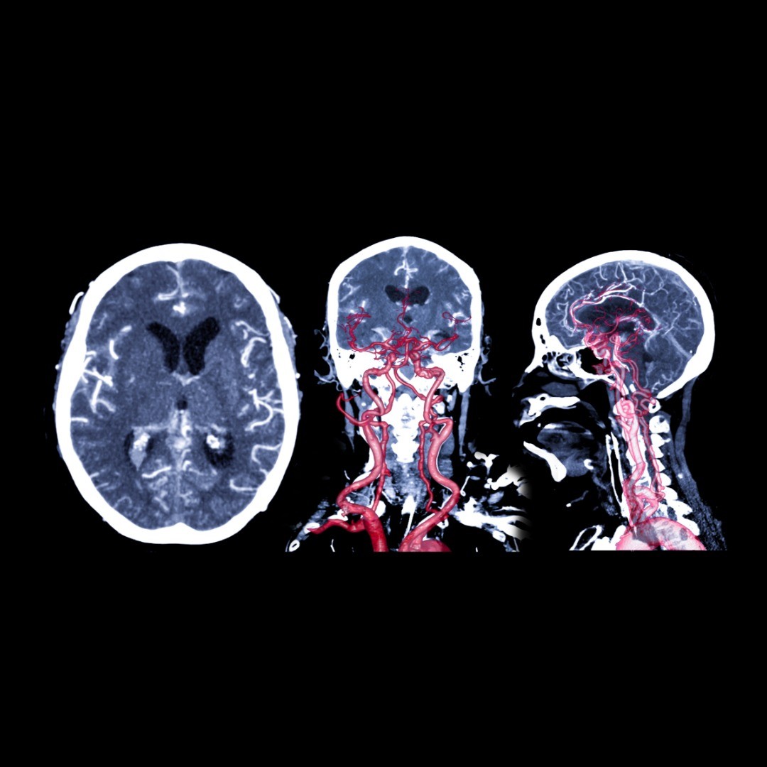
A brain aneurysm, also known as a cerebral aneurysm, is a weak area in the blood vessel wall of the brain. An aneurysm can balloon and then rupture or leak, causing a stroke.
Treatment recommendations depend on a variety of factors including the size of the brain aneurysm and the health of the patient.
Observation – Since very small aneurysms do not usually rupture, if the bulge in your brain’s artery wall is sufficiently small, your doctor may recommend long-term observation. Brain surgery can prove risky even for patients in the best of health. Your physician will clearly explain the risk factors associated with choosing to wait and see, and you may require ongoing monitoring over the long term.
Coil Embolization – In this minimally invasive brain aneurysm treatment, a tiny, soft metal coil is inserted into the artery to block blood flow into the aneurysm to prevent a rupture:
Coil embolization is considered the less invasive of the two surgical brain aneurysm treatment options, with less blood loss and a faster recovery time.
Surgical Clipping – The third form of common brain aneurysm treatment is considered open brain surgery.
Generally, the patient will need to remain in the intensive care unit for at least a few days, and at times longer.
NSPC Brain & Spine Surgery (NSPC) (NSPC) has leading physicians in the New York region with a range of neurosurgical subspecialties and related fields. Our multi-disciplinary medical teams provide experience and expertise for open brain surgeries such as surgical clipping to treat brain aneurysms.
Our award-winning neurosurgeons provide minimally invasive neuroendovascular surgeries such as coil embolization for brain aneurysm treatments, at our premier medical centers in Long Island and the NY tristate area.

For over 50 years & 350,000 patients NSPC has been a trusted global medical leader.
Contact us today for an appointment or consultation.