

This patient is a 65-year-old man who presented to the ER after a fall from a horse. He was unable to move his arms but had some minimal movement in his legs. He had suffered a spinal cord injury affecting the cervical spinal cord and needed neurosurgical consultation.
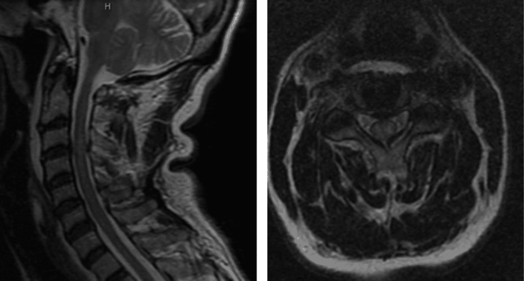
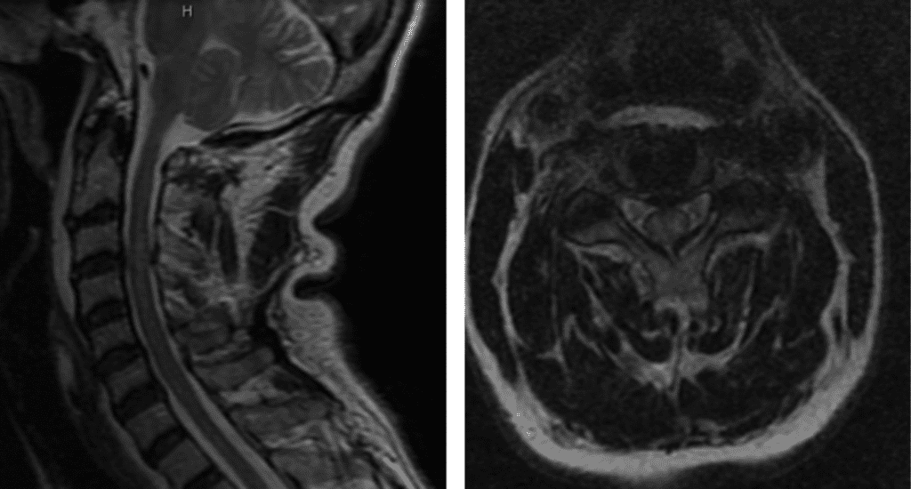
This patient was suffering from compression of the cervical spinal cord. The fall caused an acute herniation of the cervical disc, which caused pressure on the spinal cord.

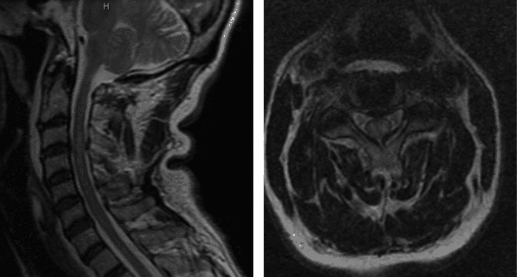
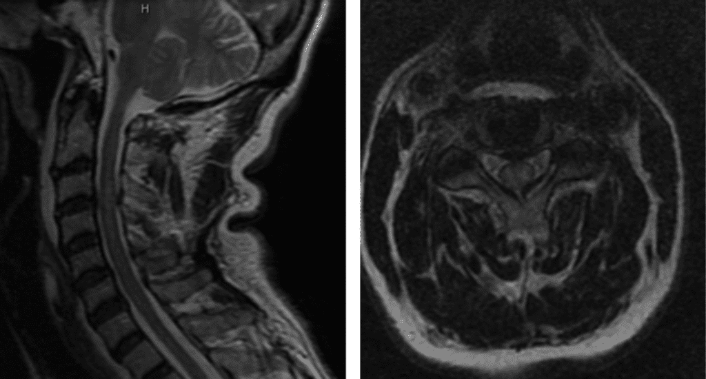
Figure 1. T2 MRI sagittal and axial showing C3/C4 disc herniation with compression of the spinal cord; spinal cord edema at the C3/C4 level.
This particular spinal cord injury is called Central Cord Syndrome. This type of spinal cord injury typically affects the hands more than the legs and requires urgent surgical attention.
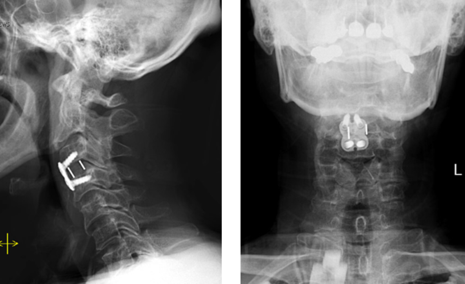
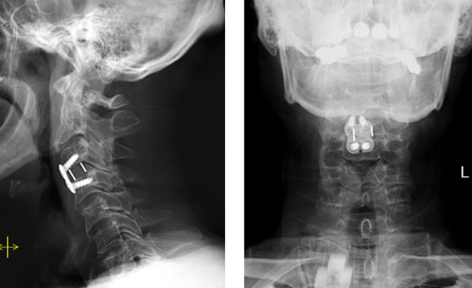
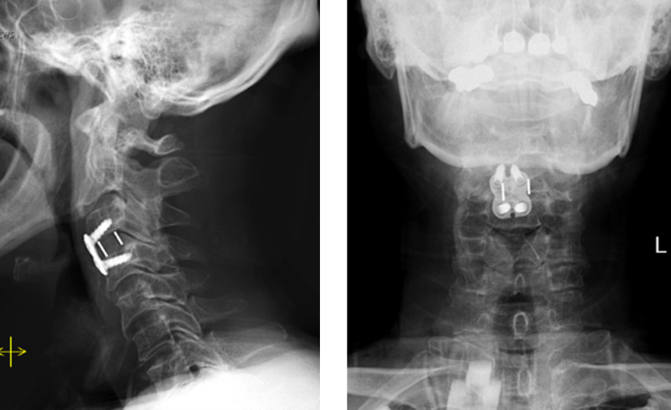
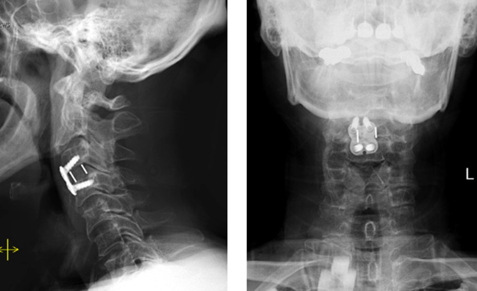
Dr. Imani performed an Anterior Cervical Discectomy and Fusion to remove the pressure of the herniated disc from compressing the spinal cord and stabilizing the spinal column with a fusion of the C3/C4 disc space.
After Dr. Imani’s surgery, the patient is making a full recovery. He is able to walk and move both arms/hands.

Figure 2. Lateral and AP cervical spine x-rays s/p ACDF
References
