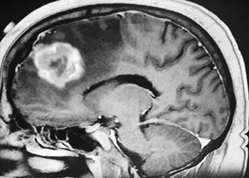
Figure 1: Sagittal post-contrast MRI. Figure 2: Axial post-contrast MRI. Postoperative images looked good (Figure 3). The patient felt better after surgery. His headaches were much […]
Dr. Brisman started the patient on steroids to reduce the surrounding edema. After a few days, the patient did note some improvement in her vision. Due […]
Surgery was offered for spinal cord preservation, neurologic preservation, symptomatic management, histopathologic diagnosis, and to decrease the tumor burden. Dr. Gaudin performed an uneventful T7-T9 motion-sparing […]
Request A Consultation
New Patients — Please call 1-844-NSPC-DOC or fill out the form below.
Request a Consultation
We use cookies to ensure that we give you the best experience on our website. If you continue to use this site we will assume that you are happy with it.