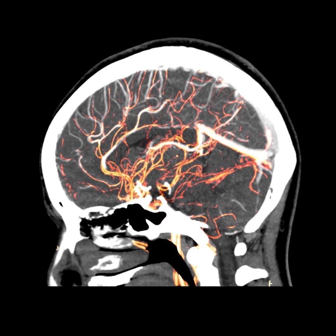
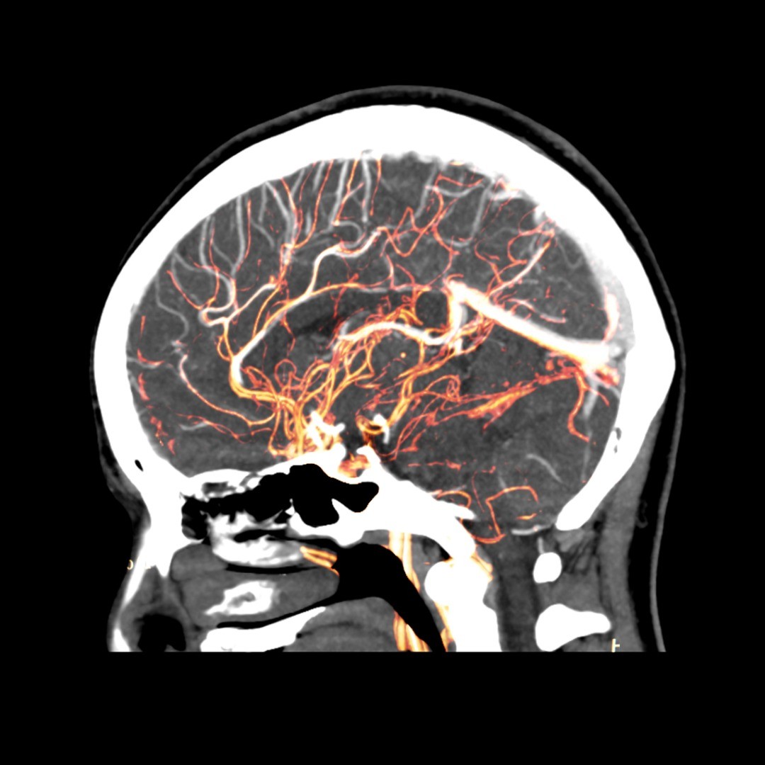
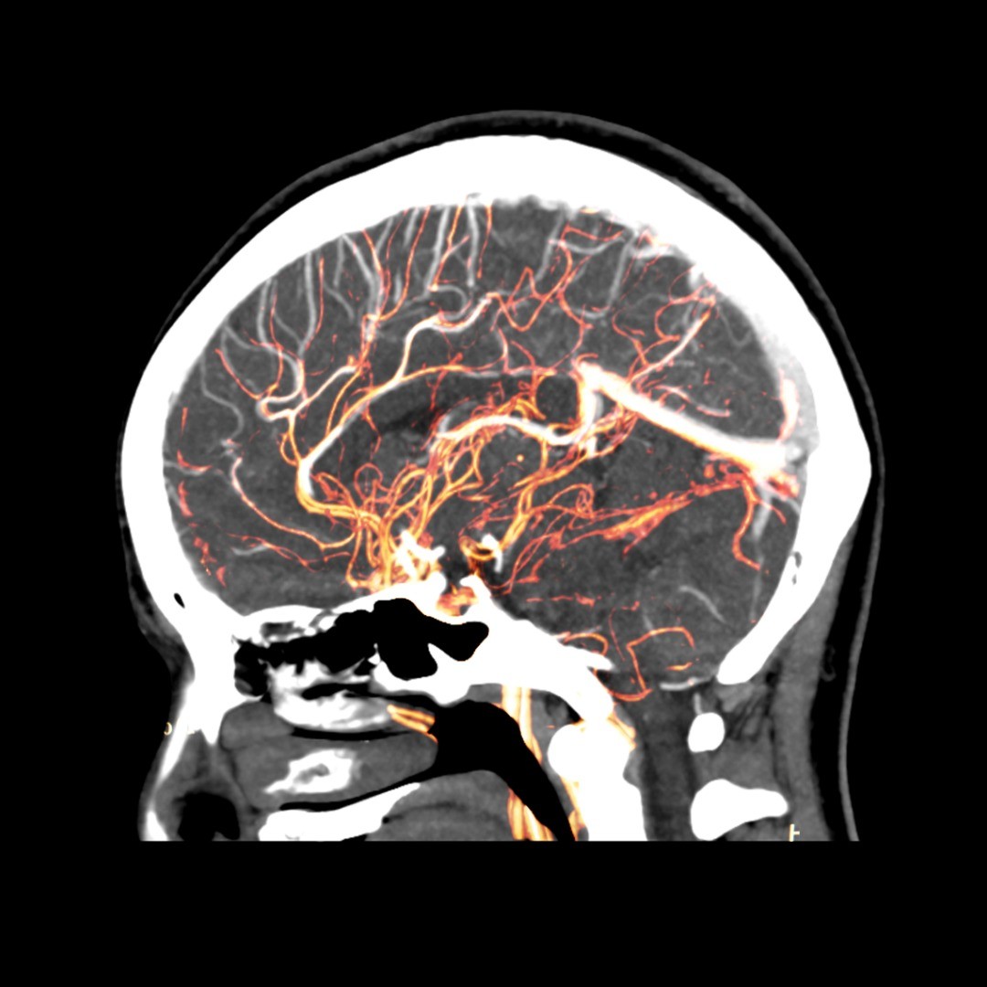
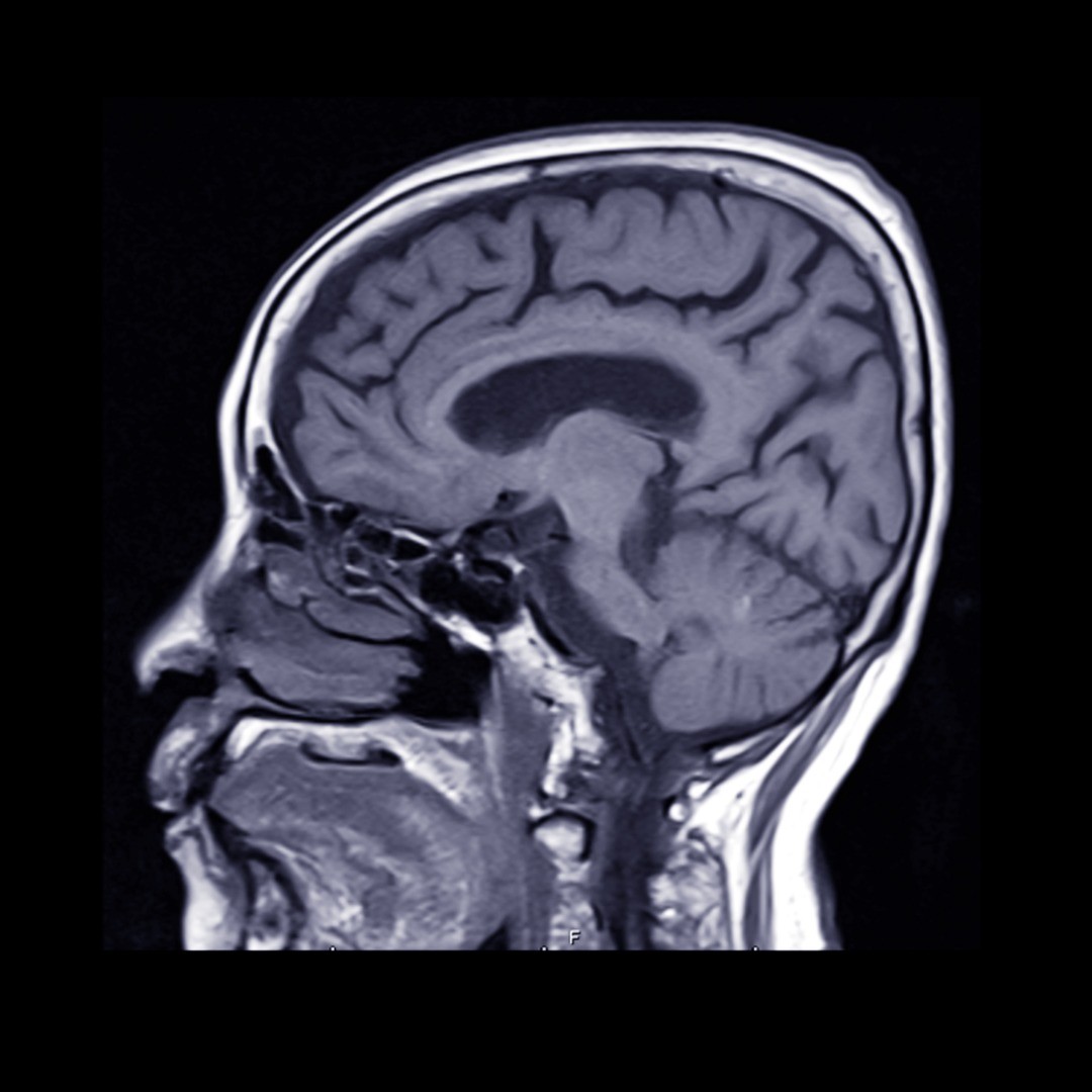
Cerebral aneurysm treatments depend on a variety of factors: whether the aneurysm, a bulge in the wall of the artery, is pre-rupture or after an event, your health and age, how small or large the aneurysm is, and whether it is causing neurological symptoms among other risk factors.
Aneurysm Clipping – In this brain aneurysm treatment, a neurosurgeon places a small surgical clip around the base of an intracranial aneurysm, blocking off the flow of blood to the aneurysm and limiting the likelihood of it bursting. Surgical clipping is a long-established medical procedure for treating both ruptured and pre-ruptured aneurysms.
Surgical Clipping – During this surgical procedure, a tiny clip is attached to the base of the aneurysm to prevent blood flow— thereby decreasing the likelihood of it bursting or rupturing if it’s pre-rupture or to treat a ruptured aneurysm. To reach the aneurysm, the neurosurgeon performs a small craniotomy, which temporarily removes a portion of the skull, and an incision in the brain covering called the dura mater allows the surgeon to carefully retract the brain and trace the affected artery to the aneurysm. Once there, the clip is placed on the neck of the aneurysm.
If you or a loved one have a brain aneurysm, discuss your options with experienced physicians specializing in cerebral aneurysms. Our outstanding brain aneurysm specialists are the first choice for many NY doctors who refer patients for aneurysm surgery. NSPC’s Dr. Jonathan Brisman is a premier endovascular surgeon in the New York area and was the first neurosurgeon on Long Island to coil a cerebral aneurysm.
NSPC Brain & Spine Surgery (NSPC) (NSPC) combines state-of-the-art technologies with award-winning physicians—so you get top-notch treatments. Contact one of our medical centers on Long Island or the New York tri-state area to talk with one of our aneurysm specialists.

For over 50 years & 350,000 patients NSPC has been a trusted global medical leader.
Contact us today for an appointment or consultation.