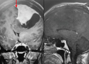
Fig 1. A) Pre-operative, post-contrast, coronal MRI. Arrow points to tumor involvement in the superior sagittal sinus. Cystic Meningiomas: Sometimes meningiomas can have partly cystic (fluid) […]
Educational Goals: Learners will be able to recognize the symptoms that may suggest Brain Arteriovenous Malformations, and order appropriate tests to confirm the diagnosis, and refer […]
The goals of surgery were to achieve spinal stability, neural decompression, and re-establish a physiologic sagittal alignment. She had co-morbidities that precluded a more conventional open […]
On admission, she presented as a GCS 3, was intubated, and stabilized hemodynamically in preparation for emergent catheter cerebral angiography, which revealed 2 discrete geographically located […]
Preop Postop This is a 70-year-old female who has been suffering from progressively worsening back pain for the past decade. She developed a kyphoscoliosis deformity as […]
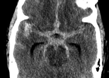
A 60-year-old woman who is otherwise healthy who presented with progressive right-sided pulsatile tinnitus for 4-6 weeks. She underwent extensive evaluation by her PCP and ENT […]
Examination: Her general and neurological examinations were normal. She was alert and oriented. Her cranial nerves were intact and her motor and sensory examinations were normal. […]
Figure 1. A) Sagittal T2 MRI demonstrates aggressive hyperintense T3 hemangioma involving the body and posterior elements compressing the thoracic spinal cord (arrows) Figure 1. B […]
New Patients — Please call 1-844-NSPC-DOC or fill out the form below.
Request a Consultation
We use cookies to ensure that we give you the best experience on our website. If you continue to use this site we will assume that you are happy with it.