Educational Goals: Learners will be able to recognize the symptoms that may suggest a symptomatic brain aneurysm, order appropriate tests to confirm the diagnosis, and appropriately […]
Collateral venous drainage into the orbit and skull base was observed (Figure A). After successful cannulation of the direct aperture between the right carotid artery and […]
Surgical resection was felt to be most appropriate given the extensive size not being amenable to radiation, degree of symptomatic mass effect, favorable accessibility and non-eloquent […]
An MRI (Fig. 1) demonstrated severe stenosis at C2-3 with cord compression secondary to significant thickened posterior ligament and facet arthropathy. The patient had a posterior […]
Genetic analysis of the tumor, ordered by NSPC neuro-oncologist, Jai Grewal, M.D., revealed mutations and chromosomal translocations suggesting responsiveness to particular chemotherapy regimens. Treatment with chemotherapy […]
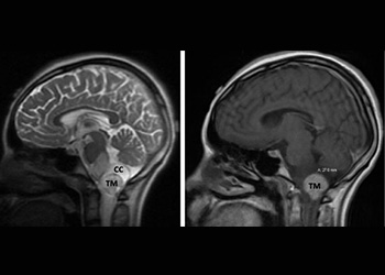
Figure 1. Brain MRI showing tumor mass (TM) with cystic component (CC) and edema (T2-weighted MRI, left) in the lower brainstem and upper cervical cord. Mass […]
MRI of the lumbar spine (Fig. 1) demonstrated a grade 1-2 spondylolisthesis at L5-S1 with bilateral pars defects with significant L5-S1 foraminal compression. She had an […]
She underwent endoscopic transsphenoidal removal of the pituitary tumor, performed by Dr. Michael Brisman. Postoperative imaging showed the tumor was removed completely. Postoperative lab tests showed […]
New Patients — Please call 1-844-NSPC-DOC or fill out the form below.
Request a Consultation
We use cookies to ensure that we give you the best experience on our website. If you continue to use this site we will assume that you are happy with it.