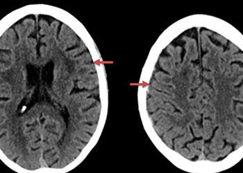
Figure 1: A) Non Contrast CT and B) MRI FLAIR studies demonstrate subtle Subarachnoid hemorrhage in the sylvian and parietal sulci (arrows) The subararachnoid hemorrhage was […]
The patient is a 65-year-old woman with a history of hypertension and hypercholesterolemia who was experiencing bilateral lower extremity weakness and numbness for close to one […]
In 2016, a 54-year-old man presented with mid-thoracic back pain and was found, by imaging, to have a presumed T3 vertebral body hemangioma. He was neurologically […]
Figure 1. A) 6 weeks post mild trauma B) 4 weeks post mild trauma demonstrate stable subacute subdural collections with mild growth and sulcal effacement. The […]
Educational Goals: Learners will be able to recognize the symptoms that may suggest Perfusion Failure secondary to severe Carotid Artery Stenosis, and order appropriate tests to […]
Nomenclature: While these tumors are generally referred to as “acoustic neuromas”, it is understood that these are generally, in reality, “vestibular schwannomas”. The tumor arises from […]
Image 1: Pre-treatment axial post contrast MRI. Because the lesion was sizeable, and causing much mass effect, and the diagnosis was unclear, and the patient was […]
Educational Goals: Learners will be able to recognize the symptoms that may suggest Vertebral-Basilar Insufficiency, and appropriately refer these patients to appropriate imaging, testing, and subspecialist […]
New Patients — Please call 1-844-NSPC-DOC or fill out the form below.
Request a Consultation
We use cookies to ensure that we give you the best experience on our website. If you continue to use this site we will assume that you are happy with it.