This is a 49-year-old otherwise healthy female who presented with bifrontal and retro-orbital headaches, behavioral changes, and forgetfulness. Symptoms have been progressively worsening over the past […]
The patient is a 57-year-old woman with a long history of tonsillar cancer, treated in the past with multiple surgical procedures including right-sided mandibular surgery and […]
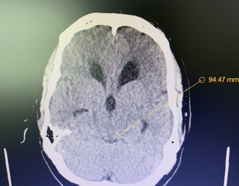
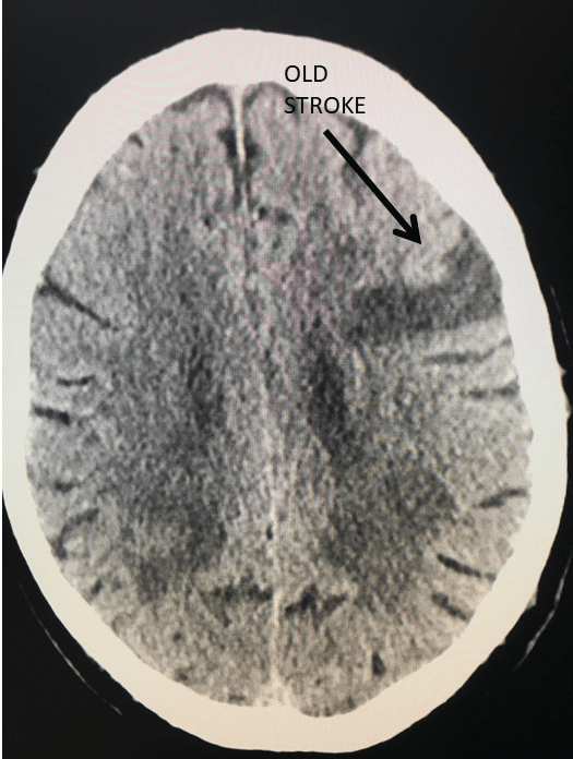
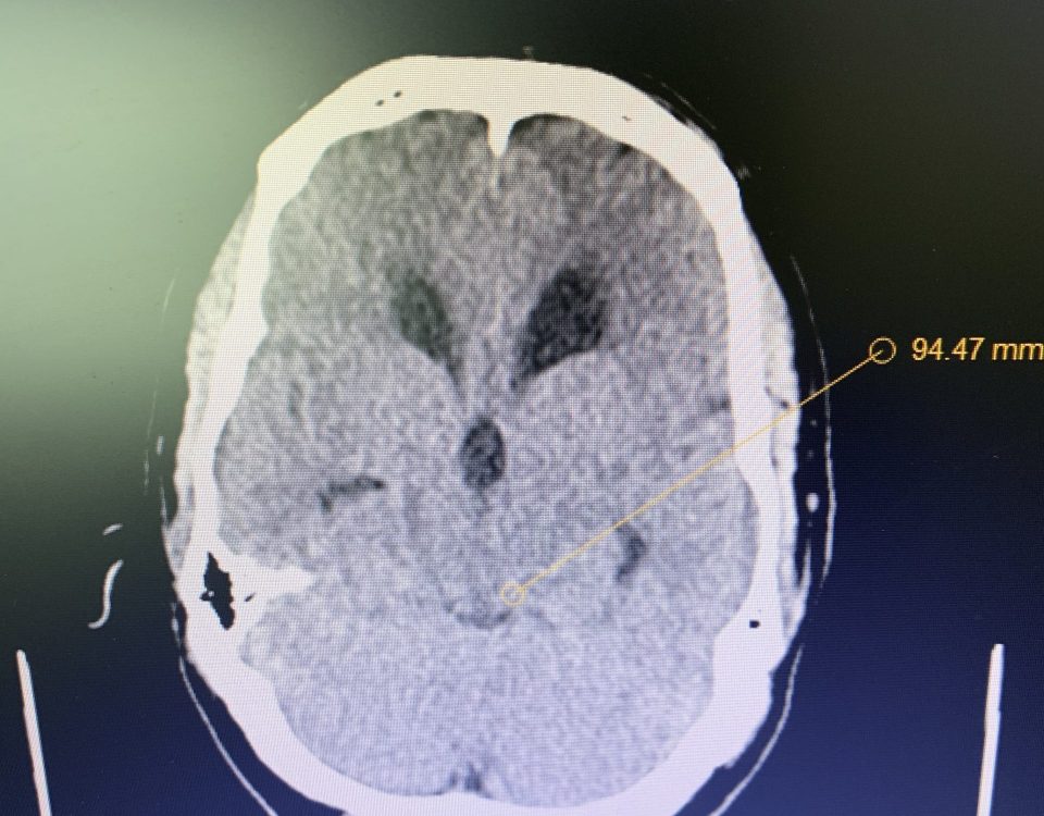
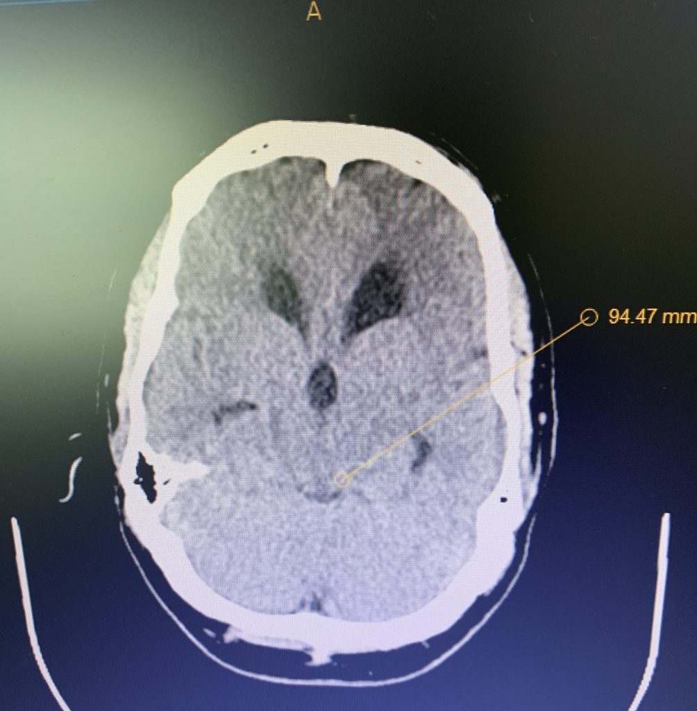
This 77-year-old man with a history of stroke in 2013 presented to a small community hospital with aphasia upon awakening. Given the unclear timing of onset […]
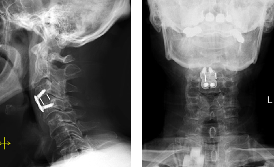
This is a 42-year-old otherwise healthy male who presented electively with progressively worsening neck pain radiating down the left arm, with paresthesia first three digits. He […]
The patient is a 59-year-old gentleman who is otherwise healthy, but states that he had a traumatic head injury several months prior for which he was […]
A young lady presented with a myriad of disabling difficulties, after a flourishing adolescence full of academic and athletic successes. Her headaches, located on the top […]
New Patients — Please call 1-844-NSPC-DOC or fill out the form below.
Request a Consultation
We use cookies to ensure that we give you the best experience on our website. If you continue to use this site we will assume that you are happy with it.