ALL COURSES

Sharing insights and knowledge with the physicians community.

Back:

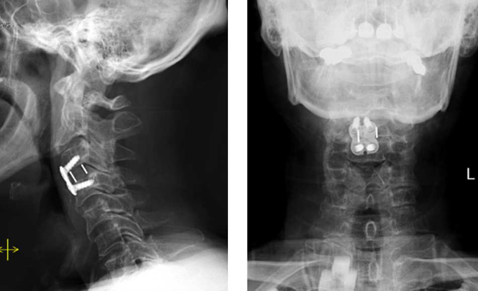
Revision Surgery Treats Intractable Neck Pain & Cervical Deformity

Author: Benjamin R. Cohen M.D., F.A.A.N.S., F.A.C.S., Read More!

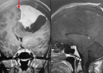
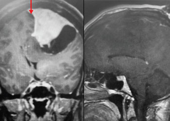
Brain:

Neurosurgeons Collaborate to Treat Giant Symptomatic Meningioma

Author: Ramin Rak M.D., F.A.A.N.S., F.C.N.S., Jonathan L. Brisman M.D., F.A.C.S., Read More!

Spine:

Central Cord Syndrome

Author: Yusef Imani M.D., F.A.A.N.S., Read More!

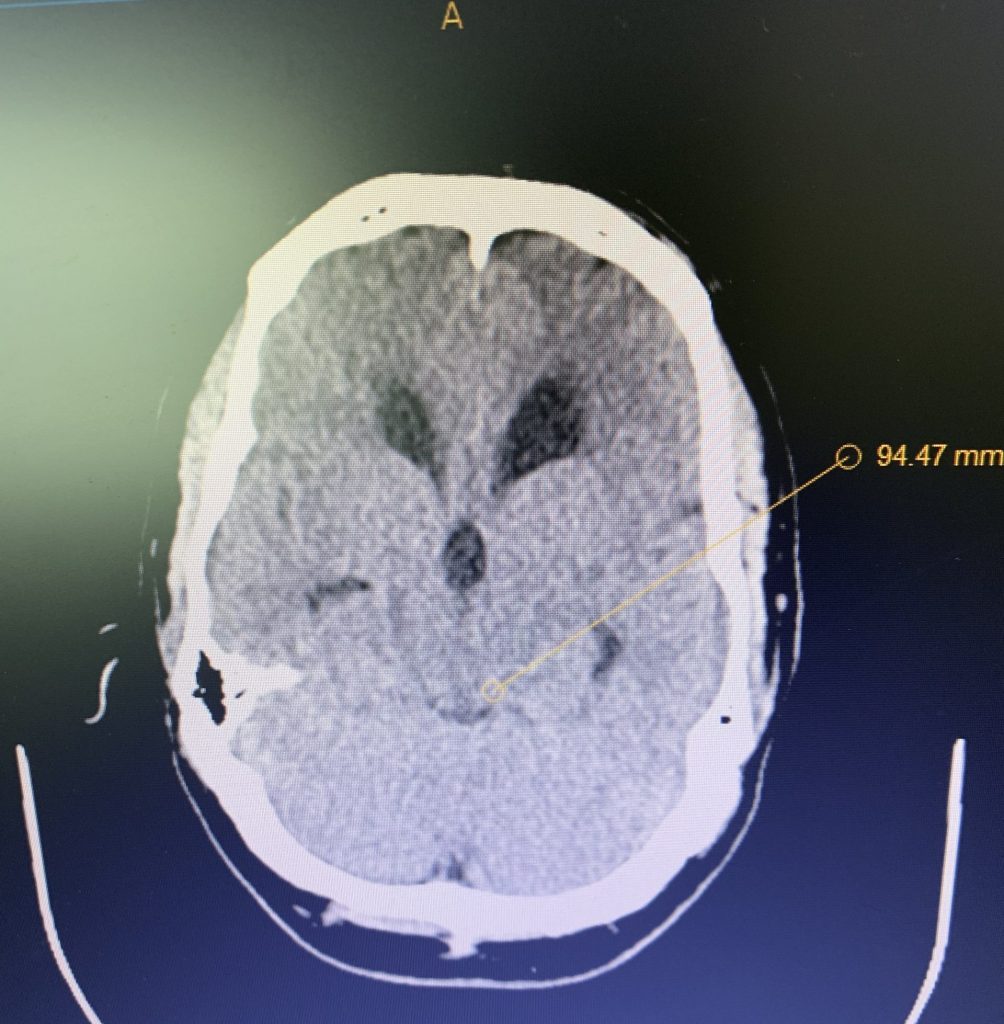
Endovascular:

Hydrocephalus and Brainstem Tumor

Author: Jonathan L. Brisman M.D., F.A.C.S., Read More!

Brain:

Pineal Region Meningioma

Author: Michael Brisman M.D., F.A.C.S., Read More!

Endovascular:

Carotid Cavernous Fistula (CCF) Study

Author: Jonathan L. Brisman M.D., F.A.C.S., Read More!

Brain:

Atypical Convexity Meningioma

Author: Jonathan L. Brisman M.D., F.A.C.S., Read More!

Endovascular:

Carotid Cavernous Fistula (CCF)

Author: Jonathan L. Brisman M.D., F.A.C.S., Read More!

Brain:

Cerebellar Hemangioblastoma

Author: Michael Brisman M.D., F.A.C.S., Read More!

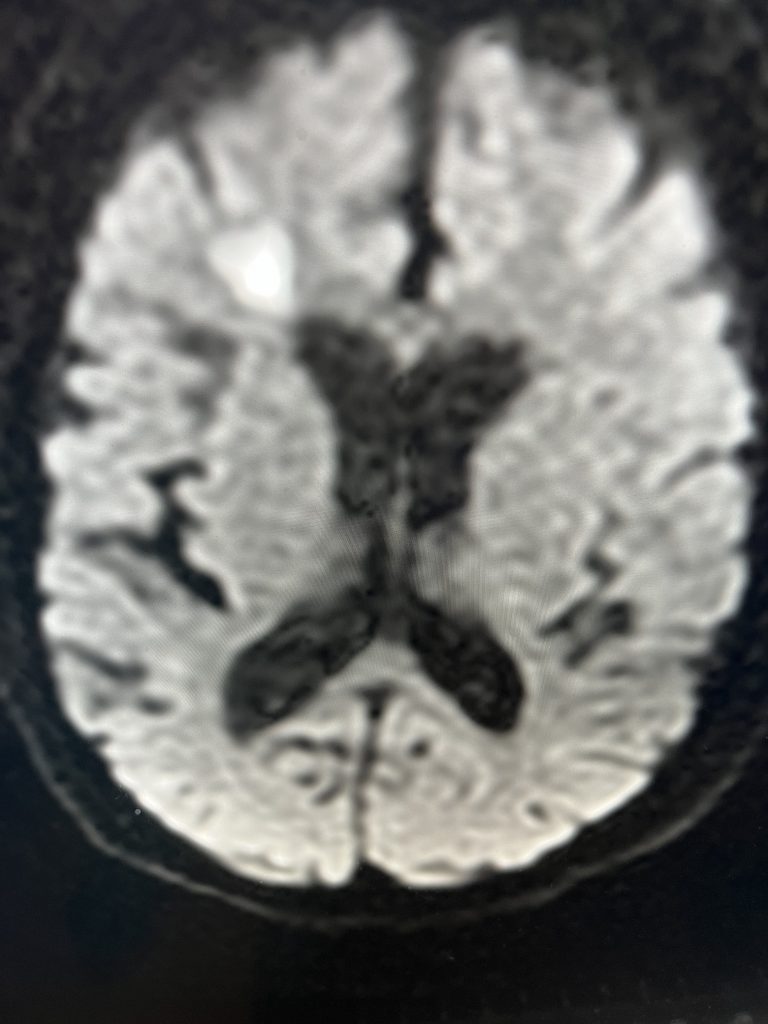
Brain:

Cerebral Metastases from Non-Small Cell Lung Cancer

Author: Xavier P. J. Gaudin D.O., F.A.C.O.S., Read More!

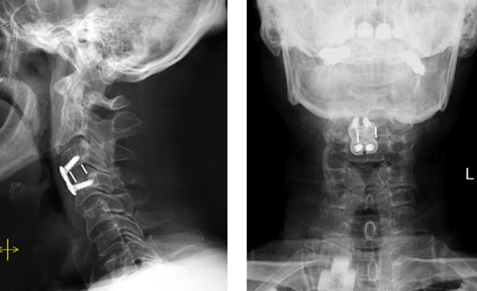
Spine:

Cervical Laminectomy and Fusion

Author: William Sonstein M.D., F.A.C.S., Read More!

Brain:

Grade II Oligodendroglioma

Author: Ramin Rak M.D., F.A.A.N.S., F.C.N.S., Read More!

Brain:

Pituitary Tumor with Cushing’s Disease

Author: Michael Brisman M.D., F.A.C.S., Read More!

Endovascular:

CME:

Symptomatic Near-Occlusion of the Carotid Artery

Author: Jonathan L. Brisman M.D., F.A.C.S., Read More!

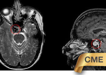
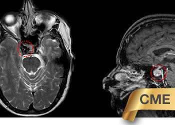
Endovascular:

CME:

Right Vertebral Artery Compression Syndrome

Author: Artem Y. Vaynman M.D., F.A.A.N.S., F.A.C.S., Read More!

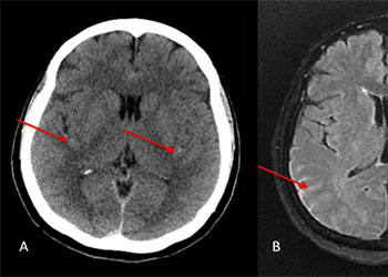
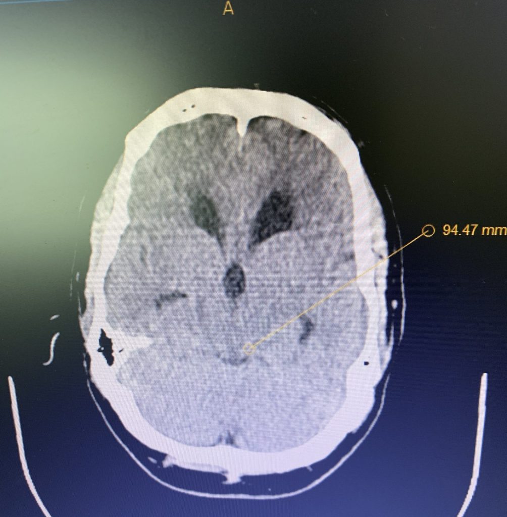
Brain:

74 Year Old Woman with Occipital Headaches

Author: Michael Brisman M.D., F.A.C.S., Read More!

Endovascular:

CME:

Direct Carotid Cavernous Fistula (CCF)

Author: Jonathan L. Brisman M.D., F.A.C.S., Read More!

Brain:

Brain Metastasis

Author: Michael Brisman M.D., F.A.C.S., Read More!

Spine:

Thoracic Spinal Cord Tumor Case Presentation

Author: Xavier P. J. Gaudin D.O., F.A.C.O.S., Read More!

Sign Up for Case Studies & Podcasts